Kalça Kemiği Kırığı Belirtileri ve Tedavisi
Kalça kemiği kırığı, genellikle düşme gibi travmatik olaylar sonucunda oluşur ve yaşlı bireylerde sık görülür. Belirtileri arasında şiddetli ağrı, hareket kısıtlılığı ve şekil bozukluğu yer alır. Doğru teşhis ve tedavi, iyileşme sürecini olumlu etkiler. Ayrıca, önleyici tedbirlerin alınması önemlidir.
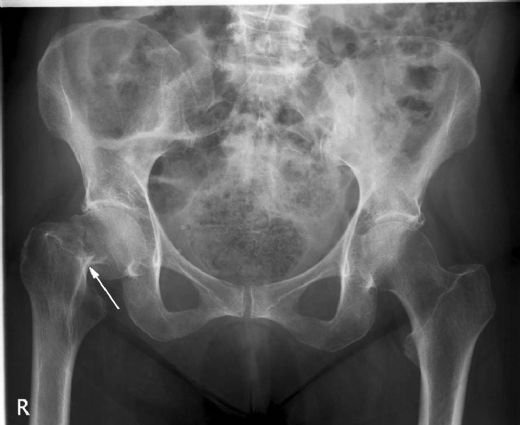
Kalça kemiği kırığı, genellikle yaşlı bireylerde düşme gibi travmatik olaylar sonucunda meydana gelen ciddi bir yaralanmadır. Bu tür kırıklar, kalça eklemi etrafındaki femur başı veya femur boynu gibi bölgelerde oluşabilir. Kalça kemiği kırıkları, ciddi komplikasyonlar ve uzun süreli sağlık sorunlarına yol açabileceğinden, doğru bir şekilde teşhis edilmesi ve tedavi edilmesi son derece önemlidir. Kalça Kemiği Kırığının Belirtileri Kalça kemiği kırığının belirtileri genellikle aşağıdaki gibi sıralanabilir:
Kalça Kemiği Kırığı Teşhisi Kalça kemiği kırığı teşhisi genellikle klinik muayene ve görüntüleme yöntemleriyle konulur. Doktor, hastanın tıbbi geçmişini alır ve fiziksel muayene yapar. Ayrıca, kırığın yerini ve tipini belirlemek için genellikle aşağıdaki görüntüleme yöntemleri kullanılır:
Kalça Kemiği Kırığı Tedavisi Kalça kemiği kırığı tedavisi, kırığın tipine, hastanın yaşına ve genel sağlık durumuna bağlı olarak değişiklik gösterir. Tedavi yöntemleri genel olarak aşağıdaki gibidir:
İyileşme Süreci ve Rehabilitasyon Kalça kemiği kırığı sonrası iyileşme süreci, hastanın yaşı, kırığın ciddiyeti ve tedavi yöntemine bağlı olarak değişir. Cerrahi tedavi sonrası fizik tedavi, hastanın hareket kabiliyetini geri kazanması ve kas gücünü artırması açısından son derece önemlidir. Rehabilitasyon süreci genellikle aşağıdaki adımları içerir:
Sonuç Kalça kemiği kırığı, özellikle yaşlı bireylerde ciddi sağlık sorunlarına yol açabilen bir durumdur. Bu durumun belirtilerini bilmek ve derhal tıbbi yardım almak, komplikasyon riskini azaltacaktır. Teşhis ve tedavi yöntemlerinin etkin bir şekilde uygulanması, hastaların iyileşme sürecini olumlu yönde etkilemektedir. Dolayısıyla, kalça kemiği kırığına dair farkındalığın artırılması ve bu konuda eğitimlerin verilmesi önem arz etmektedir. Ek Bilgiler Kalça kemiği kırığı riskini azaltmak için, yaşa bağlı düşme riskini minimize etmek amacıyla:
gibi önleyici tedbirlerin alınması önerilmektedir. Bu tür kırıkların önlenebilmesi için toplumda bu konudaki bilincin artırılması da büyük önem taşımaktadır. |






































Kalça kemiği kırığı yaşadım ve bu süreç benim için oldukça zorlayıcıydı. Düşme sonucu meydana geldi ve hemen hastaneye başvurdum. Kalça kemiğimdeki kırığın belirtileri arasında yoğun ağrı ve yürümekte zorlanmak vardı. Doktorumun önerisiyle tedavi sürecine başladık. Bu süreçte kalça kemiği ile ilgili bilgi edinmek, yaşadığım durumu anlamama yardımcı oldu. Kalça kemiği kırığı sonrası hareket kısıtlılığı ve yaşadığım rahatsızlık, yaşam kalitemi ciddi şekilde etkiledi. Bu nedenle, kalça kemiği kırığına karşı alınabilecek önlemler konusunda daha fazla bilgi sahibi olmanın önemli olduğunu düşünüyorum.
Geçmiş Olsun Sarvan, yaşadığınız kalça kemiği kırığı gerçekten zorlayıcı bir durum. Bu tür yaralanmalar, hem fiziksel hem de psikolojik olarak etkileyici olabiliyor. Yürümekte zorlanmanız ve yoğun ağrı hissetmeniz, kırığın getirdiği doğal bir sonuç.
Tedavi Süreci boyunca doktorunuzun önerilerine uymanız son derece önemli. Fizik tedavi ve rehabilitasyon, iyileşme sürecinizde büyük rol oynayabilir. Ayrıca, kalça kemiği kırığı sonrası yaşanan hareket kısıtlılığı, günlük yaşam aktivitelerinizi zorlaştırabilir.
Önlemler Hakkında bilgi edinmeniz, gelecekte benzer durumlarla karşılaşmamak adına faydalı olacaktır. Dengeli beslenme, düzenli egzersiz ve düşme riskini azaltacak önlemler almak, bu konuda atılacak önemli adımlar. Düşme riskini azaltmak için evdeki ortamınızı düzenlemek, kaygan zeminlerden kaçınmak ve uygun ayakkabılar giymek gibi basit ama etkili önlemler alabilirsiniz.
Yaşadığınız zorlu sürecin en kısa zamanda geride kalmasını dilerim. Sağlıklı günler dilerim!
Kalça kemiği kırığı yaşamak gerçekten zorlayıcı bir deneyim. Özellikle yaşlı bireyler için bu durum, sadece fiziksel acı değil, aynı zamanda psikolojik bir yük de getiriyor. İlk başta, düşme gibi basit bir olayın bu kadar ciddi sonuçlara yol açabileceğini düşünmek bile zor. Kırık sonrasında hareket kabiliyetinin kısıtlanması, günlük yaşamı ciddi anlamda etkiliyor. Yürüyüş bozuklukları ve şiddetli ağrı gibi belirtiler, kişinin yaşam kalitesini önemli ölçüde düşürüyor. Tedavi sürecinin uzun ve zorlu olması, hastanın sabrını ve dayanıklılığını test ediyor. Siz bu süreçte hangi destekleyici yöntemleri denemeyi düşündünüz? Ayrıca, bu tür bir durumu önlemek için aldığınız önlemler nelerdi?
Nebahat Hanım,
Kalça kemiği kırığı gerçekten de ciddi ve zorlu bir deneyimdir. Bu tür bir durumun hem fiziksel hem de psikolojik etkileri göz önünde bulundurulduğunda, yaşanılan sıkıntının boyutunu anlamak mümkün.
Destekleyici Yöntemler
Bu süreçte, fizik tedavi ve rehabilitasyon programlarına katılmak oldukça faydalı olabilir. Ayrıca, psikolojik destek almak, bu zorlu süreci daha kolay atlatmanıza yardımcı olabilir. Meditasyon, yoga gibi gevşeme teknikleri de stres ve kaygıyı azaltma konusunda etkili olabilir.
Önleyici Önlemler
Bunun yanı sıra, düşme riskini azaltmak için evdeki zeminlerin kaygan olmamasına dikkat etmek, iyi bir denge ve kuvvet egzersizleri yapmak, yaş ilerledikçe düzenli sağlık kontrollerini ihmal etmemek oldukça önemlidir. Ayrıca, dengeli ve besleyici bir diyet ile kemik sağlığını desteklemek de alınabilecek önlemler arasında yer alıyor.
Bu konuda daha fazla bilgi ve destek almak isterseniz, bir sağlık profesyoneli ile görüşmek faydalı olabilir. Geçmiş olsun dileklerimi iletirim.
Kalça kemiği kırığı yaşamak gerçekten zor bir durum. Özellikle yaşlı bireyler için bu tür bir kaza sonrası hareket kabiliyetinin kısıtlanması, yaşam kalitesini önemli ölçüde etkileyebiliyor. Düşme gibi basit bir olayın bu kadar ciddi sonuçlara yol açabileceğini düşünmek bile üzücü. Belirtiler arasında yürüyüş bozuklukları ve şiddetli ağrı olması, bu durumun ne kadar acı verici olduğunu gösteriyor. Tedavi sürecinin de oldukça sıkı bir takip gerektirmesi, hastanın günlük yaşamını ne kadar zorlaştırıyor. Kalça kemiği kırığından korunmak için alınabilecek önlemler gerçekten önemli; kalsiyum ve D vitamini alımına dikkat etmek, düzenli egzersiz yapmak ve evde düşmeyi önleyici düzenlemeler yapmak gibi. Bu konuda farkındalık yaratmak ve erken teşhis ile tedaviye yönelmek çok kritik. Siz bu durumu yaşarken hangi önlemleri almıştınız?
Sevgili İlknaz,
Kalça kemiği kırığı gibi ciddi bir durumun yaşam kalitesini nasıl etkilediğini çok iyi ifade etmişsiniz. Özellikle yaşlı bireylerde bu tür kazaların sonuçları, hem fiziksel hem de psikolojik açıdan oldukça yıkıcı olabiliyor. Düşme gibi basit bir olayın böyle ağır sonuçlar doğurması, gerçekten düşündürücü.
Tedavi Süreci konusundaki endişeniz de oldukça yerinde. Sürecin sıkı bir takip gerektirmesi, hastaların yaşamlarını ne kadar zorlaştırdığını gösteriyor. Bu noktada, destek sistemlerinin önemi de göz ardı edilemez. Aile ve arkadaşların yardımı, bu süreçte büyük bir rahatlama sağlayabilir.
Korunma Önlemleri açısından belirttiğiniz kalsiyum ve D vitamini alımı, düzenli egzersiz ve evde düşmeyi önleyici düzenlemeler yapmak gerçekten kritik. Ben de bu konuda farkındalık yaratmanın ve erken teşhis etmenin önemini vurgulamak isterim.
Son olarak, bu durumu yaşarken kişisel olarak aldığım önlemler arasında düzenli doktor kontrolleri ve evde güvenliği artırıcı önlemler almak yer alıyordu. Ayrıca, fiziksel aktivitelere katılarak kas güçlendirmeye çalıştım. Siz de benzer önlemler aldınız mı?
Geçmiş olsun dileklerimle.