Köprücük Kemiği Kırılması Belirtileri ve Tedavisi
Köprücük kemiği kırılması, genellikle düşme veya darbe sonucu oluşan yaygın bir yaralanmadır. Bu durumun belirtileri arasında ani ağrı, şişlik, hareket kısıtlılığı ve şekil bozukluğu yer almaktadır. Tedavi yöntemleri, kırığın ciddiyetine göre istirahat, atel kullanımı ve gerektiğinde cerrahi müdahaleyi içerir. Erken tanı ve uygun tedavi süreci, iyileşmeyi hızlandırır.
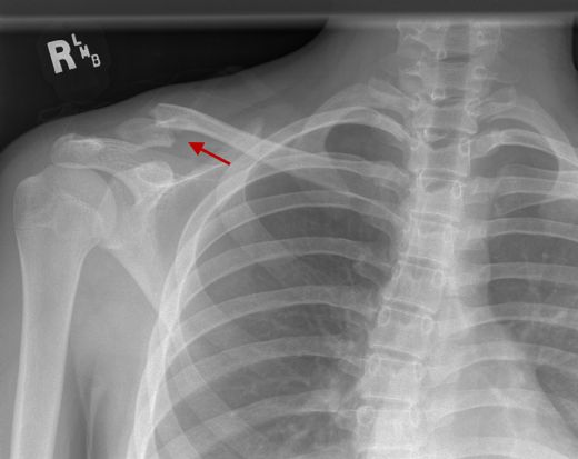
Köprücük Kemiği Kırılması: Belirtileri ve Tedavisi Köprücük kemiği (klavikula), göğüs kafesinin üst kısmında, sternum ile omuz arasında yer alan ve vücut yapısında önemli bir rol oynayan bir kemiktir. Köprücük kemiği, birçok kas ve bağ ile desteklenir ve bu nedenle vücudun hareketliliği için kritik bir öneme sahiptir. Bu makalede, köprücük kemiği kırılmasının belirtileri, nedenleri ve tedavi yöntemleri ele alınacaktır. Köprücük Kemiği Kırılmasının Nedenleri Köprücük kemiği kırılması, genellikle aşağıdaki durumlar sonucunda meydana gelir:
Bu gibi durumlar, köprücük kemiğinin kırılmasına yol açabilir ve acil tıbbi müdahale gerektirebilir. Köprücük Kemiği Kırılmasının Belirtileri Köprücük kemiği kırıldığında ortaya çıkan belirtiler arasında şunlar bulunmaktadır:
Bu belirtiler, köprücük kemiği kırılması durumunda hastaların acil tıbbi yardım alması gerektiğini gösterir. Tedavi Yöntemleri Köprücük kemiği kırılması tedavisi, kırığın ciddiyetine ve türüne bağlı olarak değişiklik göstermektedir. Genel olarak uygulanan tedavi yöntemleri şunlardır:
İyileşme Süreci Köprücük kemiği kırılmalarında iyileşme süreci genellikle 6-12 hafta arasında değişmektedir. Bu süre, kırığın tipine, tedavi yöntemine ve hastanın genel sağlık durumuna bağlı olarak farklılık gösterebilir. İyileşme sürecinin başarılı olması için hastaların doktorun önerilerine uyması ve fizik tedavi programlarına katılması önemlidir. Sonuç Köprücük kemiği kırılması, yaşam kalitesini olumsuz etkileyen bir durumdur. Belirtileri tanımak ve zamanında tıbbi yardım almak, tedavi sürecinin başarılı bir şekilde ilerlemesi açısından kritik öneme sahiptir. Kırıkların tedavisi için uygun yöntemlerin belirlenmesi ve hastaların iyileşme süreçlerine dikkat etmeleri, sağlıklı bir geri dönüş sağlayacaktır. Hastaların, köprücük kemiği kırılması gibi durumlarla karşılaşmamak adına spor yaparken uygun güvenlik önlemlerini almaları ve dikkatli olmaları önem arz etmektedir. |






































Köprük kemiği kırılması ile ilgili yaşadığım deneyim gerçekten zorlayıcıydı. Spor yaparken düşmem sonucu bu durumu yaşadım ve hemen belirtiler kendini gösterdi. Omzumda bir yamukluk fark ettim ve kolumu kaldırmak oldukça ağrılıydı. Doktora başvurduğumda, röntgen çektirerek kırığın kesinleştiğini öğrendim. Tedavi sürecinde kolumun sabit kalması gerektiği söylendi ve alçıya alındım. Ağrılarım için düzenli ilaç kullanmam gerekti. Fizik tedavi ile omuzumu güçlendirmeye çalıştım ancak bazen kolumun yanlış kaynadığı hissine kapıldım. Bu süreçte doktorumun sürekli takibi benim için çok önemliydi. Kırık iyileşene kadar dikkat etmem gereken birçok nokta vardı. Gerçekten de köprük kemiği kırılması ciddiye alınması gereken bir durum.
Geçmiş Olsun Laminur
Yaşadıklarınız gerçekten zorlayıcı bir deneyim olmalı. Kırıkların iyileşme süreci hem fiziksel hem de psikolojik olarak oldukça zorlu geçebilir. Omuz bölgesindeki bu tür yaralanmalar, günlük yaşantınızı ve spor aktivitelerinizi de olumsuz etkileyebilir. Doktorunuzun düzenli takibi ve tedavi sürecindeki önerileri, iyileşme sürecinizi hızlandırmak açısından çok önemli.
Tedavi Süreci
Alçıda kalmak ve fizik tedavi görmek, iyileşme sürecinde atılması gereken doğru adımlardır. Kolunuzun sabit kalması, kemiğin doğru bir şekilde kaynaması için elzemdir. Bu süreçte yaşadığınız ağrılar ve kaynama hissi oldukça yaygındır; ancak sabırlı olmalısınız. Kırığın iyileşmesi zaman alabilir ve bu süreçte kendinize karşı nazik olmalısınız.
Öneriler
Ayrıca, fizik tedavi seanslarınızda doktorunuzun rehberliğine dikkat etmek, omuz gücünüzü artırmak için önemlidir. Bu tür yaralanmalarda dikkatli olmak ve kendinizi zorlamamak, ileride daha büyük sorunların önüne geçebilir. Umarım en kısa zamanda eski sağlığınıza kavuşursunuz. Tekrar geçmiş olsun!