Kemikte Çatlak Belirtileri ve Tedavisi
Kemik çatlakları, travma veya aşırı yüklenme gibi nedenlerle meydana gelen yaralanmalardır. Bu durum, bireylerin günlük aktivitelerini olumsuz etkileyebilir. Belirtiler arasında ağrı, şişlik ve hareket kısıtlılığı yer alır. Tedavi, çatlağın ciddiyetine bağlı olarak dinlenme, immobilizasyon, ağrı yönetimi ve gerektiğinde cerrahi müdahale ile gerçekleşir.
Kemik çatlakları, kemiklerin yapısında meydana gelen yaralanmalar olup, genellikle travma, aşırı yüklenme veya düşme sonucu oluşur. Bu durum, bireylerin günlük yaşam aktivitelerini etkileyebilir ve tedavi gerektirebilir. Bu makalede, kemikte çatlak belirtileri, nedenleri, tanı yöntemleri ve tedavi seçenekleri üzerinde durulacaktır. Kemik Çatlaklarının Nedenleri Kemik çatlaklarının başlıca nedenleri şunlardır:
Belirtiler Kemikte çatlak oluştuğunda, bireyler çeşitli belirtiler yaşayabilir. Bu belirtiler arasında şunlar yer almaktadır:
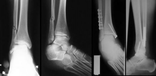
Tanı Yöntemleri Kemik çatlaklarının tanısı, hastanın şikayetleri ve fizik muayene ile başlar. Ancak, kesin tanı koymak için çeşitli görüntüleme yöntemleri kullanılabilir:
Tedavi Seçenekleri Kemik çatlaklarının tedavisi, çatlağın tipine ve ciddiyetine bağlı olarak değişiklik gösterir. Tedavi yöntemleri şunlardır:
Sonuç Kemikte çatlaklar, özellikle sporcular ve aktif bireyler için yaygın bir yaralanma türüdür. Belirtilerin göz ardı edilmemesi ve uygun tedavi yöntemlerinin uygulanması, bireylerin sağlığı açısından büyük önem taşımaktadır. Kemik sağlığını korumak için düzenli egzersiz, dengeli beslenme ve osteoporoz riskine karşı önlemler almak gerekmektedir. Ayrıca, herhangi bir yaralanma durumunda bir sağlık uzmanına başvurmak, durumun ciddiyetinin belirlenmesi ve uygun tedavi planının oluşturulması açısından kritik öneme sahiptir. |






































Kemikte çatlak yaşadığımı düşünüyorum ve gerçekten zor bir durum. Morarmanın giderek arttığını fark ettim ve bu beni endişelendiriyor. Acıyı hafifletmek için evde uygulayabileceğim yöntemler var mı? Mesela sıcak ya da soğuk kompres yapmayı denesem etkili olur mu? Ayrıca, bu durumda doktora gitmem gerektiğini biliyorum ama ne kadar süre beklemeliyim? Acı ve morarmanın artması beni düşündürüyor, bu konuda acele etmem gerektiğini hissediyorum. Ne yapmam gerektiği konusunda bilgi alabilir miyim?
Merhaba Halide,
Durumunuzu Anlamak
Kemikte çatlak gibi bir durum yaşamak gerçekten zorlayıcı bir süreçtir ve acı ile morarma gibi belirtilerin artması endişe verici olabilir. Bu tür yaralanmaların ciddiyeti, belirtilerin süresine ve şiddetine bağlı olarak değişebilir.
Evde Uygulanabilecek Yöntemler
Evde uygulayabileceğiniz bazı yöntemler var. Soğuk kompres, özellikle ilk 48 saat içinde şişliği azaltmaya yardımcı olabilir. Bunu yaparken, bir havlunun içine buz torbası koyarak doğrudan cildinize temasından kaçınmalısınız. Her 15-20 dakikada bir uygulamak faydalı olabilir. Sıcak kompres ise, şişlik azaldıktan sonra, kan akışını artırarak iyileşmeyi destekleyebilir. Ancak, bu aşamayı geçmeden önce soğuk kompres uygulamanız önerilir.
Ne Zaman Doktora Gitmelisiniz?
Ağrınız şiddetlenirse veya morarma yayılmaya devam ederse, derhal bir doktora gitmelisiniz. Ayrıca, hareket kabiliyetinizde belirgin bir azalma varsa veya günlük aktivitelerinizi etkileyen bir durum söz konusuysa, beklemekte fayda yoktur. Genel olarak, belirtilerinizde bir iyileşme görmüyorsanız veya endişeleriniz artıyorsa, en kısa sürede tıbbi yardım almak en iyisi olacaktır.
Sonuç olarak, kendi sağlığınızı önceliklendirmeli ve gerektiğinde uzman bir sağlık profesyoneline danışmalısınız. Kendinize iyi bakın!
Kemikte meydana gelen çatlağın belirtilerini yaşadığımı düşünüyorum. Özellikle çatlak olan bölge zaman ilerledikçe morarmaya başlar ifadesinde belirtilen durumu yaşıyorum ve morarma giderek artıyor. Doktora gitmeden bu durumu nasıl hafifletebilirim ve acıyı nasıl azaltabilirim? Ayrıca kemikte çatlak oluşumunda ihmal etmeden doktora gitmek gerektiği belirtilmiş, bu durumda ne kadar süre beklemeliyim?
Merhaba İnşirak,
Öncelikle yaşadığın durumu ciddiye alman gerektiğini belirtmek isterim. Kemik çatlakları oldukça rahatsız edici ve potansiyel olarak ciddi bir durum olabilir. İşte bu durumda yapabileceğin bazı şeyler:
Dinlenme: Çatlak olan bölgeyi mümkün olduğunca dinlendirmeye çalış. Hareket ettikçe ağrı ve morarma artabilir, bu yüzden bölgeyi zorlamaktan kaçınmalısın.
Buz Uygulaması: Çatlak olan bölgeye 15-20 dakika aralıklarla buz torbası uygulayabilirsin. Bu hem ağrıyı hafifletir hem de morarmayı azaltabilir.
Yükseltme: Etkilenen uzvu, kalp seviyesinin üzerine kaldırarak şişliği ve morarmayı azaltmaya çalışabilirsin.
Sıkıştırma: Bandaj veya elastik bir sargı ile bölgeyi sararak destekleyebilirsin. Ancak çok sıkı olmadığından emin olmalısın, aksi takdirde kan dolaşımını engelleyebilir.
Ağrı Kesiciler: Doktor önerisi olmadan ilaç kullanmak istemezsen, ağrıyı hafifletmek için basit ağrı kesiciler kullanabilirsin. Ancak bu, geçici bir çözümdür.
Doktora Gitme: Çatlakların tam olarak iyileşmesi ve ciddi bir durum olup olmadığının anlaşılması için mutlaka bir doktora gitmelisin. Bu tür durumlar kendiliğinden düzelmeyebilir ve daha büyük sorunlara yol açabilir. Bu yüzden en kısa sürede bir sağlık profesyoneline başvurmanı öneririm.
Geçmiş olsun, umarım en kısa sürede sağlığına kavuşursun.