Kemik Tümörü Belirtileri ve Tedavisi
Kemik tümörleri, kemik dokusunda anormal hücre büyümeleri olup benign veya malign olarak sınıflandırılır. Bu yazıda, kemik tümörlerinin belirtileri, tanı yöntemleri ve tedavi seçenekleri ele alınarak, hastaların erken tanı ve etkili tedavi süreçlerine yönelik bilgi verilmektedir.
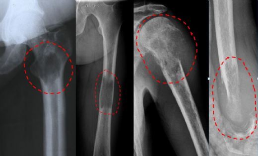
Kemik tümörleri, kemik dokusunda oluşan anormal hücre büyümeleridir ve benign (iyi huylu) veya malign (kötü huylu) olarak sınıflandırılabilir. Bu makalede, kemik tümörlerinin belirtileri, tanı yöntemleri ve tedavi seçenekleri üzerinde durulacaktır. Kemik Tümörlerinin Belirtileri Kemik tümörlerinin belirtileri, tümörün türüne, büyüklüğüne ve konumuna göre değişiklik gösterebilir. Genel olarak karşılaşılan belirtiler şu şekildedir:
Tanı Yöntemleri Kemik tümörlerinin tanısı, klinik değerlendirme ve çeşitli görüntüleme yöntemleri ile konulmaktadır. Tanı sürecinde kullanılan başlıca yöntemler şunlardır:
Tedavi Seçenekleri Kemik tümörlerinin tedavisi, tümörün türüne, büyüklüğüne ve hastanın genel sağlık durumuna bağlı olarak değişiklik göstermektedir. Tedavi yöntemleri arasında şunlar bulunmaktadır:
Sonuç Kemik tümörleri, belirtileri ve tedavi yöntemleri bakımından karmaşık bir konudur. Erken teşhis, tedavi sürecinde önemli bir rol oynamaktadır. Bu nedenle, kemik ağrısı veya şişlik gibi belirtiler yaşayan bireylerin bir sağlık profesyoneline başvurmaları önerilmektedir. Tedavi sürecinde multidisipliner bir yaklaşım, hasta bakımını iyileştirmek ve tedavi sonuçlarını optimize etmek için gereklidir. Ekstra Bilgiler Kemik tümörlerinin önlenmesi için spesifik bir yöntem olmamakla birlikte, sağlıklı yaşam tarzı ve düzenli sağlık kontrolleri, erken tanı açısından önem taşımaktadır. Genetik yatkınlığı olan bireylerin, düzenli olarak sağlık taramalarından geçmeleri önerilmektedir. Ayrıca, uluslararası literatürde kemik tümörleri ile ilgili güncel araştırmalar, yeni tedavi yöntemlerinin geliştirilmesine katkı sağlamaktadır. Bu nedenle, kemik tümörleri hakkında bilgi sahibi olmak ve gelişmeleri takip etmek, hastalar için faydalı olabilir. |






































Kemik tümörünün belirtilerinden biri olan kendiliğinden oluşan kemik kırılmalarını yaşayan var mı? Bu durumun nedeni gerçekten kemik tümörü olabilir mi?
Merhaba İcab,
Kemik tümörünün belirtilerinden biri kendiliğinden oluşan kemik kırılmaları olabilir. Bu durum, tümörün kemiğin yapısını zayıflatması sonucu meydana gelir. Ancak, bu belirtiler sadece kemik tümörünün değil, aynı zamanda osteoporoz gibi başka kemik hastalıklarının da belirtisi olabilir. Bu nedenle, bu tür belirtiler yaşadığınızda bir doktora başvurarak detaylı bir inceleme yaptırmanız önemlidir. Sağlıklı günler dilerim.