Kaval Kemiği Kırığı Platin
Kaval kemiği, bacakta en büyük kemik olarak önemli bir işlev üstlenir. Kırılması durumunda, sosyal ve fiziksel aktiviteler üzerinde ciddi etkileri olabilir. Bu içerikte, kaval kemiği kırığının nedenleri, belirtileri, tedavi yöntemleri ve iyileşme süreci hakkında kapsamlı bilgiler sunulmaktadır.
Kaval kemiği, tibia adıyla bilinen ve bacakta yer alan en büyük kemiktir. İnsan vücudunda önemli bir rol oynayan bu kemik, yürüyüş, koşu ve zıplama gibi hareketlerin gerçekleştirilmesinde kritik bir işlev üstlenir. Çeşitli nedenlerle kaval kemiği kırılabilir ve bu durum, kişinin günlük yaşamını etkilemenin yanı sıra, tedavi sürecini de gerektiren ciddi bir tıbbi durumdur. Bu makalede, kaval kemiği kırığı, tedavi yöntemleri ve platin uygulamalarına dair detaylı bilgiler sunulacaktır. Kaval Kemiği Kırığı Nedenleri Kaval kemiği kırıkları, çeşitli sebeplerle meydana gelebilir. Bunlar arasında:
Bu nedenler, kaval kemiğinin zayıflamasına veya doğrudan kırılmasına yol açabilir. Kırıkların türleri, kapalı ve açık kırıklar olarak ikiye ayrılabilir. Kaval Kemiği Kırığı Belirtileri Kaval kemiği kırığı durumunda görülen bazı yaygın belirtiler şunlardır:
Bu belirtiler, kırığın ciddiyetine bağlı olarak değişiklik gösterebilir. Kırık şüphesi durumunda derhal bir sağlık kuruluşuna başvurulması önemlidir. Tedavi Yöntemleri Kaval kemiği kırığının tedavi süreci, kırığın türüne ve ciddiyetine bağlı olarak değişir. Genel olarak iki ana tedavi yöntemi bulunmaktadır:
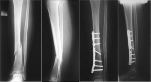
Konservatif tedavi, genellikle hafif kırıklarda tercih edilirken, cerrahi tedavi, kırığın kaynamasını sağlamak ve bacak fonksiyonunu geri kazandırmak amacıyla uygulanır. Platin Uygulamaları Kaval kemiği kırıklarında cerrahi tedavi seçeneği olarak platin kullanımı, kırığın stabilizasyonunu sağlamak için oldukça yaygındır. Platin, metal bir implant olup, kemiğin kaynamasına destek olur. Platin uygulamalarının avantajları arasında:
Cerrahiden sonra hasta, genellikle fizik tedavi sürecine yönlendirilir. Bu süreç, kas gücünü ve hareket kabiliyetini artırmak amacıyla uygulanır. İyileşme Süreci ve Fizik Tedavi Kaval kemiği kırığı sonrası iyileşme süreci, hastanın yaşına, sağlık durumuna ve tedavi yöntemine bağlı olarak değişiklik gösterebilir. Genellikle, cerrahi müdahale sonrası hastalar 6-12 hafta içinde günlük aktivitelerine dönebilirler. Bu süreçte fizik tedavi, kas ve eklem hareketliliğini artırmak için kritik bir rol oynar. Fizik tedavi uygulamaları, hastanın ihtiyaçlarına göre kişiselleştirilir ve genellikle şu aşamalardan oluşur:
Sonuç Kaval kemiği kırığı, ciddi bir yaralanma olup, tedavi edilmediği takdirde uzun vadeli sorunlara yol açabilir. Platin uygulamaları, bu tür kırıkların tedavisinde etkili bir yöntem olarak öne çıkmaktadır. Erken tanı ve uygun tedavi ile hastaların iyileşme sürecinin hızlandırılması mümkündür. Bu nedenle, kaval kemiği kırığı belirtileri görüldüğünde mutlaka bir sağlık kuruluşuna başvurulması önerilmektedir. Ekstra bilgiler: Kaval kemiği kırıkları, sporcular arasında oldukça yaygındır. Özellikle futbol, basketbol gibi yüksek enerji gerektiren spor dallarında dikkatli olunması gerekmektedir. Ayrıca, osteoporoz hastalarının kemik sağlığını korumak amacıyla düzenli tıbbi kontroller yapmaları ve önerilen tedavi yöntemlerine uymaları önem arz etmektedir. |






































Kaval kemiği kırığı yaşayan biri olarak, platin takıldıktan sonra nelere dikkat etmem gerekiyor? Ayrıca, fizik tedaviye ne zaman başlamalı ve hangi hareketlerden kesinlikle kaçınmalıyım?
Merhaba Muhsine hanım,
Kaval kemiği kırığı ve platin takılması ciddi bir durumdur ve iyileşme sürecinde dikkat edilmesi gereken birçok husus vardır. Şu noktalara dikkat etmeniz önemlidir:
Dikkat Edilmesi Gerekenler:
1. Doktor Tavsiyeleri: Doktorunuzun size önerdiği tüm talimatlara harfiyen uymalısınız. İlaçları düzenli kullanın ve kontrolleri aksatmayın.
2. Yükleme: Kırık bölgesine ağırlık vermekten kesinlikle kaçınmalı ve doktorunuzun izin verdiği zamana kadar tam yükleme yapmamalısınız.
3. Hijyen: Platin takılan bölgenin hijyenine özen gösterin. Enfeksiyon riskine karşı yaranızı temiz tutun.
Fizik Tedavi:
Fizik tedaviye başlamadan önce mutlaka doktorunuza danışmalısınız. Genellikle kemiğin kaynamasından sonra yani 6-8 hafta sonrasında fizik tedaviye başlanabilir. Ancak bu süre kişiden kişiye değişebilir.
Kaçınılması Gereken Hareketler:
1. Darbe ve Travma: Kırık bölgesine herhangi bir darbe almaktan kaçınmalısınız.
2. Zorlayıcı Hareketler: Özellikle iyileşme sürecinde bölgeyi zorlayacak ağır hareketlerden ve egzersizlerden kaçının.
3. Ani Dönüşler ve Bükülmeler: Bölgenin ani dönüş ve bükülmelerle zorlanmasından kaçının.
Geçmiş olsun dileklerimle, umarım en kısa zamanda sağlığınıza kavuşursunuz.