Femur Kemiği Kırığı Belirtileri ve Tedavisi
Femur kemiği, vücudun en uzun ve en dayanıklı kemiğidir. Kırıkları genellikle ciddi travmalar sonucu oluşur ve önemli sağlık sorunlarına yol açabilir. Bu içerikte, femur kemiği kırığının nedenleri, belirtileri, tanı yöntemleri ve tedavi seçenekleri detaylı bir şekilde ele alınmaktadır.
Femur Kemiği Kırığı: Belirtileri ve Tedavisi Femur kemiği, insan vücudundaki en uzun ve en sağlam kemiklerden biridir. Uyluk kemiği olarak da bilinen femur, pelvis ile diz eklemi arasında yer alır. Femur kemiği kırıkları, genellikle travmatik olaylar sonucunda meydana gelir ve ciddi sağlık sorunlarına yol açabilir. Bu makalede, femur kemiği kırığının belirtileri, tanısı ve tedavi yöntemleri hakkında detaylı bilgiler sunulacaktır. Femur Kemiği Kırığının Nedenleri Femur kemiği kırıkları, çoğunlukla aşağıdaki nedenlerle meydana gelir:
Femur Kemiği Kırığının Belirtileri Femur kemiği kırığı yaşayan bireylerde çeşitli belirtiler ortaya çıkabilir. Bu belirtiler şunlardır:
Tanısı Femur kemiği kırığının tanısı, genellikle fiziksel muayene ve görüntüleme yöntemleri ile konulur. Doktor, hastanın şikayetlerini dinledikten sonra aşağıdaki yöntemleri kullanabilir:
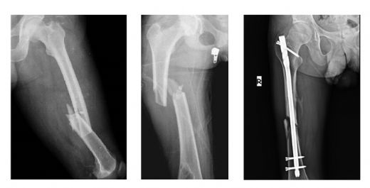
Tedavi Yöntemleri Femur kemiği kırığının tedavisi, kırığın tipine, yerine ve hastanın genel sağlık durumuna bağlı olarak değişiklik gösterir. Genel olarak tedavi yöntemleri şunlardır:
İyileşme Süreci Femur kemiği kırığı sonrası iyileşme süreci, genellikle 6 ila 12 hafta arasında değişir. Ancak bu süre, hastanın yaşı, genel sağlık durumu ve kırığın şiddetine bağlı olarak uzayabilir. İyileşme sürecinde hastaların dikkat etmesi gereken noktalar şunlardır:
Sonuç Femur kemiği kırıkları, ciddi sağlık sorunları oluşturabilen travmatik yaralanmalardır. Belirtilerinin farkında olunması ve zamanında tedavi edilmesi, hastaların yaşam kalitesini artırmakta büyük önem taşımaktadır. Tedavi sürecinde doktorun önerilerine uyulması ve fiziksel aktivitelere dikkat edilmesi, iyileşme sürecini olumlu yönde etkileyecektir. Bu nedenle, femur kemiği kırığı belirtileri ve tedavi yöntemleri hakkında bilgi sahibi olmak, bireylerin sağlığı açısından kritik bir öneme sahiptir. |






































Femur kemiğim kırıldığında, yürüyememe ve şiddetli ağrı yaşadım. Kırığın ameliyat ile sabitlenmesi ve iyileşme süreci boyunca fizik tedaviye ihtiyacım oldu. Bu süreçte hangi egzersizleri yapmam gerektiğini ve beslenmede nelere dikkat etmem gerektiğini öğrenebilir miyim?
Merhaba Ülgen,
Femur kemiğinin kırılması ciddi bir durumdur ve iyileşme süreci sabır gerektirir. Umarım bu süreci mümkün olan en rahat şekilde atlatırsınız. Sorularınıza elimden geldiğince cevap vermeye çalışayım.
Egzersizler:
1. Pasif Hareketler: Fizik tedavi uzmanının yardımıyla bacağınızı belirli aralıklarda hareket ettirmek, eklem hareketliliğini korumaya yardımcı olur.
2. İzometrik Egzersizler: Kaslarınızı hareket ettirmeden sıkıştırmanız ve gevşetmenizi içerir. Bu, kas kuvvetinizi korumaya yardımcı olur.
3. Yük Taşıma Egzersizleri: İyileşme ilerledikçe, vücut ağırlığınızı yavaş yavaş bacaklarınıza vermeye başlayabilirsiniz. Bu, bacak kaslarınızın gücünü geri kazanmasına yardımcı olur.
Beslenme:
1. Protein: Kas onarımı ve iyileşme süreci için yeterli protein alımı önemlidir. Tavuk, balık, yumurta ve baklagiller gibi protein kaynakları tüketmeye özen gösterin.
2. Kalsiyum ve D Vitamini: Kemik sağlığı için kalsiyum ve D vitamini önemlidir. Süt ürünleri, yeşil yapraklı sebzeler ve güneş ışığı D vitamini almanıza yardımcı olabilir.
3. Antioksidanlar: Meyve ve sebzelerden bolca antioksidan almak, iyileşme sürecini hızlandırabilir.
Bu süreçte doktorunuzun ve fizik tedavi uzmanının önerilerini dikkate almanız çok önemlidir. Umuyorum ki en kısa zamanda sağlığınıza kavuşursunuz. Geçmiş olsun!