Kemik Kisti Belirtileri ve Tedavisi
Kemik kistleri, kemikte oluşan sıvı dolu boşluklar olup genellikle belirti vermezler. Ancak, bazı durumlarda ağrı, şişlik veya hareket kısıtlılığına neden olabilirler. Bu yazıda, kemik kistlerinin belirtileri, nedenleri, tanı yöntemleri ve tedavi seçenekleri hakkında bilgiler sunulmaktadır.
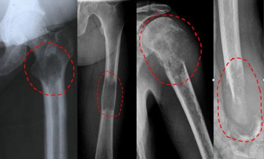
Kemik kisti, kemikte bulunan sıvı dolu bir boşluk olarak tanımlanabilir. Bu yapı genellikle benign (iyi huylu) olup, çoğu zaman belirti vermeden seyreder. Ancak bazı durumlarda, kemik kistleri rahatsızlık hissine ve çeşitli semptomlara yol açabilir. Bu makalede, kemik kistlerinin belirtileri ve tedavi yöntemleri üzerinde durulacaktır. Kemik Kistinin Nedenleri Kemik kistlerinin oluşumuna neden olan faktörler tam olarak bilinmemektedir. Ancak, genel olarak şu faktörler etkili olabilir:
Kemik Kisti Belirtileri Kemik kistleri genellikle belirti vermez, fakat bazı durumlarda aşağıdaki belirtiler görülebilir:
Kemik Kistinin Tanısı Kemik kistinin tanısı genellikle aşağıdaki yöntemlerle konulmaktadır:
Kemik Kisti Tedavi Yöntemleri Kemik kistlerinin tedavi yöntemleri, kistin türüne, büyüklüğüne ve hastanın genel sağlık durumuna göre değişiklik göstermektedir. Genel tedavi seçenekleri şunlardır:
Ekstra Bilgiler Kemik kistleri, genellikle çocuklarda ve gençlerde daha sık görülmektedir. Tedavi edilmediklerinde bazı kistler zamanla büyüyebilir ve kemik yapısını zayıflatabilir. Ayrıca, kistlerin takibi önemlidir; çünkü bazı durumlarda malign (kötü huylu) dönüşüm riski bulunmaktadır. Bu nedenle, kemik kisti tanısı alan bireylerin düzenli olarak hekim kontrolünde olmaları önerilmektedir. Sonuç olarak, kemik kistleri genellikle iyi huylu olmasına rağmen, belirtiler gösterebilecekleri ve tedavi gerektirebilecekleri unutulmamalıdır. Kistin özellikleri ve hastanın durumu göz önüne alınarak uygun tedavi yöntemi belirlenmelidir. |






































Kemik kisti hakkında okuduklarım beni gerçekten düşündürdü. Özellikle çocuklar ve genç yetişkinlerde yaygın olması, ailelerin dikkat etmesi gereken bir durum gibi görünüyor. Kemiklerin büyümesi sırasında oluşan bu sızıntılar, günlük yaşamda ciddi sıkıntılara yol açabilir. Belirtiler arasında yer alan omuz ve kalça ağrıları, kişinin hareket kabiliyetini ne kadar etkileyebilir? Ayrıca, erken teşhisin tedavi sürecinde ne kadar kritik olduğunu vurgulamanız önemli. Peki, bu kistlerin tedavi sürecinde yaşanan iyileşme süreci genellikle ne kadar sürüyor? Ve tedavi sonrası neler beklenmeli?
Kemik Kisti ve Ailelerin Dikkati
Kemik kistleri, özellikle çocuklar ve genç yetişkinlerde görülen önemli sağlık sorunlarından biridir. Ailelerin bu konuda dikkatli olması ve belirtileri gözlemlemesi oldukça kritiktir. Kemiklerin büyümesi sırasında oluşan bu kistlerin, günlük yaşamda ciddi sıkıntılara yol açabileceği doğru.
Hareket Kabiliyeti Üzerindeki Etkisi
Omuz ve kalça ağrıları, kişinin hareket kabiliyetini önemli ölçüde etkileyebilir. Ağrı, hareketi kısıtlayarak kişinin günlük aktivitelerini yerine getirmesini zorlaştırabilir. Bu durum, hem fiziksel hem de psikolojik olarak bireyi olumsuz etkileyebilir.
Erken Teşhis ve Tedavi Süreci
Erken teşhis, tedavi sürecinde kritik bir rol oynamaktadır. Kistlerin zamanında tespit edilmesi, tedavi yöntemlerinin daha etkili olmasını sağlar. Genellikle tedavi süreci, kistin büyüklüğüne ve yerine bağlı olarak değişiklik gösterebilir, ancak genelde birkaç hafta ile birkaç ay arasında sürebilir.
Tedavi Sonrası Beklentiler
Tedavi sonrasında, bireylerin iyileşme süreci genellikle olumlu yönde ilerler. Ancak, tedavi sonrası takip ve kontrollerin yapılması önemlidir. Kişinin, hareket kabiliyetini tekrar kazanması için fizik tedavi önerilebilir. Kistlerin tekrarlama olasılığına karşı da düzenli kontroller yapılması faydalı olacaktır.
Sonuç olarak, kemik kistleri hakkında bilgi sahibi olmak ve belirtileri erken bir aşamada fark etmek, tedavi sürecinin başarısını artıracaktır.